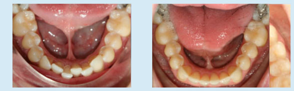
Before & After Incredible results and inspiring journeys; see some of our patients’ before and after photos the next time you visit our practice. « ‹ of 17 › »